
Full Mouth Reconstruction
Benefits of Full Mouth Reconstruction
Improved Oral Health
Restored oral health can help protect your remaining teeth, jawbone, and other dental tissues. The benefits of improved oral health can also extend to your overall health. Untreated tooth decay can increase your risk of heart disease, stroke, diabetes, and more.
Restored Function
Damaged or missing teeth can impact your ability to chew and speak properly. It can also cause an imbalanced bite, leading to painful issues with the TMJ. Restoring the function of your mouth will allow you to speak clearly and eat your favorite foods again.
Boosted Self-Confidence and Beautiful Smile
Feeling comfortable with your smile is important. Full mouth reconstruction not only restores your oral health and dental function, but it can give you a smile you are proud to share, boosting your self-confidence.
What Is Full Mouth Reconstruction?
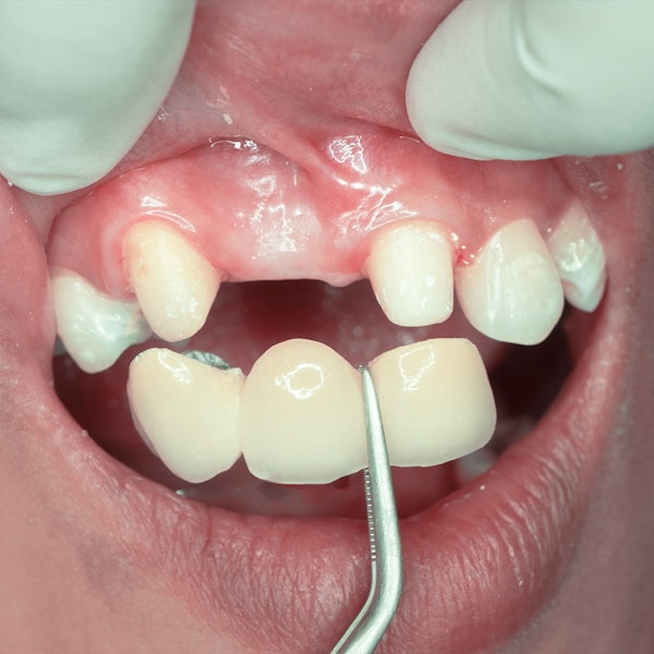
Dental Crowns
A dental crown is a tooth-shaped cover that protects and provides strength to a damaged tooth. This helps to maintain the tooth structure. A crown supported by a dental implant can also be used to completely replace a missing tooth.
Dental Bridges
Bridges fill the gap created by one or more missing teeth. A traditional bridge uses dental crowns to support the artificial tooth or teeth, while an implant-supported bridge uses dental implants to support the restoration.
Dental Implants
Dental implants are titanium posts that are surgically placed in the jaw to support a restoration, like a denture, crown, or bridge. Implants replace missing tooth roots, providing much-needed stimulation to the jaw that can stop or prevent the jawbone atrophy that occurs with tooth loss. Implants are the only restorative treatment option that preserve jawbone density and eliminate the need for bone grafting later.
Bone Grafting
Bone grafting is performed to treat the bone loss that typically occurs with missing teeth. Bone grafting helps by encouraging bone regeneration, and it is often used with dental implants to ensure the implants have a strong, stable base for support.

Dentures
If you are missing several teeth or all of your teeth along one or both dental arches, partial or full dentures can replace them. Traditional full dentures rely on suction and denture adhesive to remain in place, while implant-supported dentures are anchored directly to the jaw.
All-on-4 Dental Implants
All-on-4® dental implants offer the same benefits as traditional implant-supported dentures. What sets them apart from traditional implant-supported dentures is that they only require four implants per arch to support a restoration, instead of the typical six to eight implants. The strategically angled implants often eliminate the need for bone grafting, allowing patients with existing bone loss to reap the benefits of implants.
Root Canal Therapy
Root canal therapy addresses decay and infection that reaches your tooth roots. It is often used in combination with dental crowns to support and protect the remaining tooth structure once the infection has been removed.
Dental Bonding
Dental bonding uses tooth-colored resin material to conceal imperfections such as chips, cracks, stains, and gaps, or to make minor modifications to the shape of a tooth.
Extractions
For teeth damaged or decayed beyond repair, Dr. Gillette can perform extractions to prevent further decay and infections. If you require an extraction, our dentistry practice offers multiple restoration options such as implant-supported bridges, crowns, and dentures.
Fillings
Fillings address mild-to-moderate tooth decay. Tooth-colored fillings match the shade of your natural tooth.
If your dental issues are mainly aesthetic, cosmetic dentistry may be for you. Dr. Gillette performs multiple cosmetic dentistry procedures such as veneers and teeth whitening to improve the appearance of your smile.
A Versatile Solution for Any Dental Need

Restore Your Smile at Ward Road Dental
At Ward Road Dental, we understand dental issues can be embarrassing and frustrating. Dr. Gillette has over 10 years of experience and provides multiple restorative treatment options to get you smiling again.
Our Arvada, CO, dentistry practice offers free initial consultations to help you start your journey to a beautiful smile and improved oral health. We are happy to answer any questions you may have to ensure you are completely comfortable with your treatment plan. Call us or request a free initial consultation online today!
(303) 420-4001

"Dr. Chris and team are awesome and we are delighted
to find such a great dental office"
5-Star Reviews for Our Arvada Practice
I lost a crown during covid and called a number to dentists, Dr. Gillette was the only one that got back to me. He saw me the same day and took care of my issue. What a breath of fresh air in today's world that a dentist takes time for others. I recently was able to get in for a cleaning and repair for my crown, I was very impressed with the time and attention he spends with his patients. We are going to move our dental needs to him going forward. Additionally the office personnel are equally attentive. Thank you for for providing a lost art of caring.
View on GoogleAfter 46 years with our previous dentist- we embarked to find a new dentist. From the first interaction with Gretchen- we felt at ease and informed of Dr. Gillette’s experience and competence. The office is modern and professional. Crystal - the hygienist, greeted us, kept us informed, and did an excellent job with our cleaning. Dr. Chris was welcoming and reassuring.Nate- the office manage checked us out- and had a great sense of humor with us. Dr. Chris and team are awesome and we are delighted to find such a great dental office. Good experience—Joe and Susan
View on GoogleAm I a Candidate for Full Mouth Reconstruction?
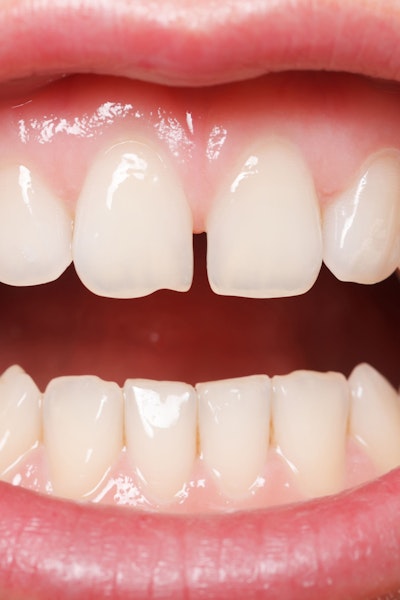
Damaged teeth
Cracked and chipped teeth can be addressed with several different treatment options depending on the level of damage and your personal preferences. Treatments include dental crowns, veneers, and bonding.
Tooth Decay
Tooth decay can cause significant issues, not just in your oral health, but your overall health as well. Addressing the decay through fillings, extractions, or root canal therapy can have multiple benefits to your health.
Gum Disease
Gum disease can start out small, but if left untreated, it can spread and cause problems such as infections and decay. This can cause tooth and bone loss later. Our periodontal treatments include scaling and root planning to clean between the teeth and gums down to the roots.
Let's Take a Closer Look at Dental Implants
What Patients Say About Ward Road Dental Five-Star Reviews
I am so fearful of dentistry. Needing to have some work done I called ward road dental after reading reviews. I then booked my appointment. Dr Gillette is an amazing dentist. He’s been so patient with my fobia. I now have a mouth that feels & looks great. The entire staff is so kind. I simply couldn’t recommend wars road dental any more enthusiastically. Especially if you have fears. They’ll take good care of you. Tom small
View on GoogleWhat an amazing change! Imagine getting the care you actually NEED instead of being told you need some expensive and time sucking proceedure. I am a health care provider, I value good trustworthy care above all else. At Ward Road Dental I was not only given great care I was "cared about." I mattered!
View on GoogleCare When You Need It
Still not sure if full mouth reconstruction is right for you? Our initial consultations are free, and there is no pressure or obligation. We want you to be confident in your treatment options.
Ward Road Dental strives to provide unparalleled care. We offer sedation dentistry options, so there's never a reason to feel nervous or anxious about treatment. Our practice is not a clinic, so you will see the same doctor and staff at every appointment. Dr. Gillette also offers same-day, after-hours, and weekend appointments for emergencies, so you can rest assured your dental health issues can be addressed promptly. Call our Arvada, CO, dental practice or request an appointment online today!
(303) 420-4001

Restored Function With Dentures
Frequently Asked Questions
How much does full mouth reconstruction costs?
Because full mouth reconstruction treatments are tailored to fit your unique dental needs, it is impossible to give a quote without an initial consultation. During your consultation, your dentist will examine your mouth, review your dental and health history, and discuss your dental needs and goals. He will then develop a custom treatment plan that addresses your concerns.
The treatments used in full mouth reconstruction are often considered restorative, and your dental insurance may cover portions or even all the costs of treatment. This will vary by provider and the healthcare plan you have. Once your dentist develops a treatment plan, our office can help you determine what, if any, out-of-pocket costs you may have.
At our Arvada, CO, dentistry practice, we accept all major dental insurance plans. We also accept CareCredit® to help patients finance their treatment, making dental care more accessible.
How long does full mouth reconstruction take?
Once your dentist determines which treatments will best address your unique dental issues, he can craft a plan, explain the timeframe, and ensure you are fully informed about the procedures before you begin the process. Because treatment is customized to each patient's needs, timeframes can vary greatly. Some patients have simple cases requiring only a few visits, while more detailed cases may require several weeks. Treatment for patients who receive dental implants may take over a year, as there is healing time required for the implants to fuse to the jaw in a process called osseointegration. If you need extractions, healing times will also factor into the treatment timeline.
My issues are cosmetic. Am I still a candidate for full mouth reconstruction?
Some of the restorative treatments performed in full mouth reconstruction are also treatments used in the field of cosmetic dentistry. However, the difference is that cosmetic dentistry focuses entirely on the appearance of your smile. Minor issues such as gaps, stains, and misalignment that do not interfere with the function of your mouth and teeth are considered cosmetic. While full mouth reconstruction does address appearance, the main goal of treatment is to restore your oral health and function. Insurance typically does not cover treatments deemed cosmetic. However, our Arvada practice office offers a full range of cosmetic dentistry treatments, and we are happy to help you on your journey to a beautiful smile.
"The most patient, gentle, caring dentist you will find" More Five-Star Reviews
Dr. Gillette is the most patient, gentle, caring dentist you will find. He takes his time to explain everything and loves questions. He is a perfectionist and takes pride in his dental work. This is the place to go if you are afraid of dental visits. Dr. Gillette and his staff are never ‘rushed’ to get you done. They space their appointments out so that you feel comfortable and attended to. Nate the office manager is also top notch. He is also very caring and ready to answer any questions and do whatever makes you comfortable. The office is very clean from the lobby to the dental chairs – simply ‘spic n span’. The entire staff is professional.
View on GoogleHave been going to Ward Road Dental for past couple of years. All the staff is super kind and personable. Dr. Gillette is patient and kind and explains everything very thoroughly. Nathan is exceptional on every level! I had been to a practice prior that could never get me numb which caused me a lot of anxiety. But I'm not worried here at all. Great combination of professional, caring and j ust a comforting feeling to be there :) Trust me, as a dental phobic, I know a good practice when I am there :) Five out of five!
View on Google









